At Kick Ass Dental, we offer two main types of removable dentures to replace missing teeth—each designed to suit different needs, comfort levels, and budgets.
Acrylic (plastic) dentures are a cost-effective option made from high-quality dental acrylic. They are typically bulkier than metal dentures but are ideal for full dentures or as a temporary solution.
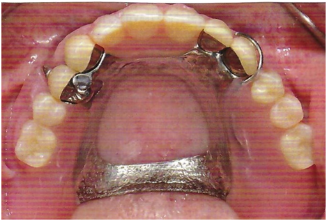
Metal dentures feature a strong, thin, and lightweight metal framework, making them ideal for partial dentures. They offer superior fit and comfort for long-term use.
🦷Not sure which denture is right for you?
Book a consultation at Kick Ass Dental and we’ll help you find the best solution based on your needs, comfort, and budget.
Our mission is to provide you with the best possible care, with a strong focus on prevention to keep your smile healthy.
Our friendly and professional team is committed to offering honest, clear guidance for all your dental needs.

