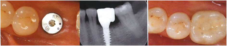
At Kick Ass Dental, we refer all dental implant procedures to a trusted local specialist. We believe that partnering with an expert in implantology ensures the highest standard of care and leads to more successful, long-lasting outcomes for our patients.
Our mission is to provide you with the best possible care, with a strong focus on prevention to keep your smile healthy.
Our friendly and professional team is committed to offering honest, clear guidance for all your dental needs.

